
Treat more aligner cases with less work
Take on more complex bite cases with fewer refinements and less work, all while staying fully in control of your patient relationship.
Dr. David Boschken, DDS, MS
Licensed in California
600+ Cases
“I realized I could help patients to the standards I expect in my practice with Two Front. I now support patients at practices across the United States.”
Dr. David Boschken, DDS, MS
More cases. Fewer refinements. No added chaos.
Keep more aligner cases in-house, spend less time on refinements, and see higher profit than doing Invisalign yourself — all without changing how your day-to-day practice runs.
Average additional revenue per case when you partner with Two Front.
$2,000
Average number of aligner cases per year for Two Front providers.
50-100
No new hires, no lab bills, no additional equipment. Just results.
0
Overhead
$300,000 Using Two Front, High Country Dental is on track to generate $300,000 in profit in 2026, driven by expanded case acceptance — without adding chair time or overhead.
“Two Front is the best thing we’ve added to our practice. From the patients, to the team, to the business – everyone benefits.”
Dr. Trujillo
Practice owner and Dentist, High Country Dental
Keep all case complexities in-house
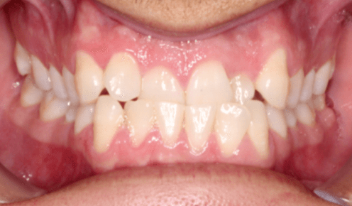
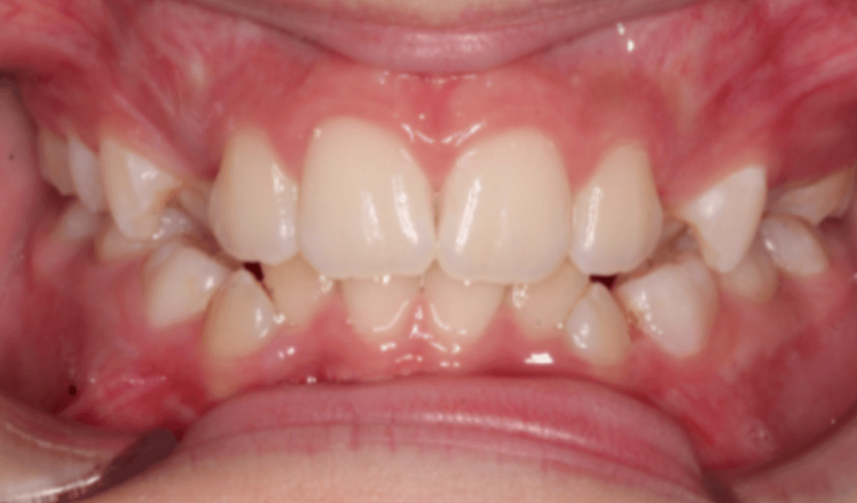
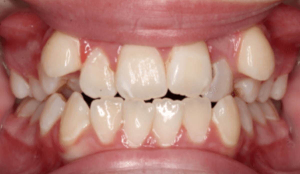
Here is some of my work.

Case Info
Case Stat

Case Info
Case Stat

Case Info
Case Stat

Case Info
Case Stat
Why work together
Expand aligner treatment at your practice predictably. Get your time back — without added lab bills or operational burden.

01
Confidently Keep All Cases In-House
As a Two Front Certified orthodontist, have confidence that I specialize in comprehensive orthodontics using Invisalign. Say yes to more patients, including complex bite cases, without referring them out. My Ortho Treatment Coordinators excel at helping patients get to yes, with 100% financing approval.

02
Save Meaningful Time
Reduce your chair-time drain with weekly virtual check-ups by my patient support team. Save an average of 10–15 office check-ups per patient and spare yourself from time designing Clinchecks.

03
Why Partner Through Two Front
Two Front manages the entire orthodontic practice, from ensuring patients have successful virtual consultations, to ensuring patients are compliant with their aligners, and handling all billing and insurance.
How we work together
Add me to your practice as an in-house associate without changing your workflow or adding cost.
01
Unlimited In-House Referrals

Seamlessly refer patients for an orthodontic evaluation within the Two Front portal, where you upload radiographs, insurance cards, and share the treatment plan.
02
Video Consultation

I provide comprehensive assessments videos for you and the patient — free of charge. A Treatment Coordinator on my team connects with the patient outside of your practice to review my assessment, the personalized outcome simulator, insurance coverage and payment options.
03
Seamless Deliveries

Patients receive Welcome Kits to their home for their weekly check-ups. Deliver all aligner at the delivery, saving meaningful chair time.
04
Weekly Virtual Check-Ups
My team supports patients with weekly virtual check-ups with at-home teeth scans. I support when patients get off track. We have a 98% patient compliance rate.
01
Unlimited In-House Referrals

Seamlessly refer patients for an orthodontic evaluation within the Two Front portal, where you upload radiographs, insurance cards, and share the treatment plan.
02
Video Consultation

I provide comprehensive assessments videos for you and the patient — free of charge. A Treatment Coordinator on my team connects with the patient outside of your practice to review my assessment, the personalized outcome simulator, insurance coverage and payment options.
03
Seamless Deliveries

Patients receive Welcome Kits to their home for their weekly check-ups. Deliver all aligner at the delivery, saving meaningful chair time.
04
Weekly Virtual Check-Ups
My team supports patients with weekly virtual check-ups with at-home teeth scans. I support when patients get off track. We have a 98% patient compliance rate.


When you partner with a Two Front Associate Orthodontist, every case follows the same clinical standards used across the Two Front network.
Treatment planning is done in collaboration with a Two Front Faculty Orthodontist — ensuring predictability in Clincheck planning for every patient.